Améliorer la prise en charge des AVC

Avancée scientifique Biologie

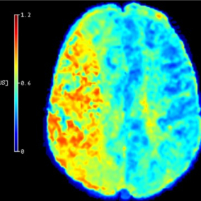
Une équipe du Centre de recherche en acquisition et traitement de l'image pour la santé a développé une méthode qui permet, à partir des images d'IRM de patients ayant subi un AVC d’améliorer l’évaluation des zones du cerveau pouvant récupérer après un traitement de reperfusion. Ces résultats, qui ouvrent la voie à une meilleure prise en charge des patients, en particulier de ceux jugés parfois inéligibles à ce genre de traitement, sont publiés dans la revue Stroke.

En savoir plus